Histotechnician
A histotechnician is an allied health professional who utilizes histology techniques and technology to diagnose diseases at the cellular level. The Histotechnician course provides the education and training in the art and science of histopathology.
The instructional design of this program’s courses is group-lock step. This is a consolidated course with two military services that has a two phase, field of study schedule. Resident training is first conducted at the METC and then the student transitions to clinical training that is conducted at military and/or civilian medical treatment facilities (MTF).
Upon initial entry to METC, students are provided formal education and training that develops them into entry-level histopathology apprentices/technicians within fixed and deployable medical facilities.
Students will learn the histopathology mission and scope of practice. Instruction is presented in the following units: Introduction to Histotechnology, Specimen Processing for Histological Study, Routine Technical Procedures, Staining for Histological Study, Anatomy and Histology, Autopsy Procedures, Anatomy and Histology, Practical Histotechnician Training, and Clinical Practicum.
Methods of instruction include, but are not limited to: lecture, demonstration, online materials, simulations, laboratory practice, and practical exercises. Quality control and safety techniques are emphasized throughout the course.
Clinical training provides students with clinical knowledge and hands-on experiential training which consists of clinical practicum in a MTF.
The course prepares the student to exercise judgment and accept responsibility in performing diagnostic procedures in the care of patients. Students will perform a clinical rotation to obtain practical training necessary to prepare them for assignment as entry level Histopathology Technicians. Training will include, but is not be limited to: grossing tissue, embedding and sectioning blocks, staining and cover slipping slides, assisting in necropsies, and assisting in administrative tasks. Additional duties such as filing slides, labeling slides, filing blocks, coverslipping, and or general lab clean up, also known as service work, are a part of this training course.
Proficiency advancement in clinical applications is determined by the program director and clinical advisor/ coordinator on a case-by-case basis.

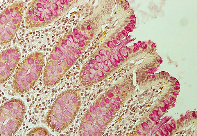
A Histotechnician student checks Intestinal section stained
for cover slipping errors positive with Mucicarmine
Service Specific Information:
 |
Students are to proceed directly to the METC Histopathology School after completing Basic Military Training located at Lackland AFB.
Upon successful completion of the course, students will be awarded a 4T032 AFSC and be assigned to their duty locations which will be located in one of the U.S. Air Force's military treatment facilities.
|
 |
Students who are selected for the METC Histopathology School will proceed directly from their current command or from Hospital Corps "A" School upon selection to advanced "C" school training. Students who are selected from Hospital Corps School will proceed with the "A" school check out process prior to checking into METC's "C" School course.
Upon successful completion of the course students will be awarded a NEC 8503 and be assigned to their duty locations which will be located in one of the U.S. Navy's medical centers. |
Course Academic Pre-Requisites:
Student Educational background must include prerequisite content in biological sciences, chemistry, and mathematics that provide the foundation for coursework required to succeed in the histotechnician program. Each service has specific academic requirements that must be met before selection.
Curriculum Courses:
HISTO 101: Introduction to Histotechnology
HISTO 102: Basic Scientific Information
HISTO 103: Specimen Processing for Histological Study
HISTO 104: Routine Technical Procedures
HISTO 105: Special Staining for Histological Study
HISTO 106: Anatomy and Tissue Identification
HISTO 107: Autopsy Procedures
HISTO 108: Cytopreparatory Techniques
HISTO 109: Immunohistochemistry
HISTO 110: Practical Histotechnician Training
HISTO 111: Clinical Practicum
College of Allied Health Sciences (Uniformed Services University of the Health Sciences)
Upon successful completion of the course, graduates earn 50 semester hours toward their associate degree in health sciences in histology through the CAHS.
Accreditation:
Graduates from this course receive 50 credit hours from the College of Allied Health Sciences (CAHS).
Air Force and Navy tracks are accredited by the National Accrediting Agency for Clinical Laboratory Sciences (NAACLS) at: (www.naacls.org).
National Accrediting Agency for Clinical Laboratory Sciences
5600 N. River Rd., Suite 720
Rosemont, IL 60018-5119
Telephone: 773-714-8880
FAX: 773-714-8886
info@naacls.org
Credentialing Information:
Students who have successfully fulfilled the requirements of the Histotechnician course are eligible to challenge the National Histotechnician (HT) exam from the American Society for Clinical Pathology (ASCP).
American Society for Clinical Pathology
33 West Monroe Street, Suite 1600
Chicago, IL 60603
Program Outcomes:
Upon successful completion of the METC Histotechnician Program, all graduates are assigned to Air Force and Navy medical treatment facilities within the continental United States and in overseas locations.
| Year |
Graduation Rate |
Job Placement |
ASCP BOC First
Time Pass Rate |
| 2022 |
100% |
100% |
100% |
| 2023 |
0% |
0% |
0% |
| 2024 |
0% |
0% |
0% |